Pasolini e la Giustizia – una lezione di relatività
Sono oramai passati quarantacinque anni da quella terrificante notte tra il primo e il due novembre 1975, nel corso della quale Pier Paolo Pasolini,...
Oggi parliamo di… Custodire il cuore e creare una nuova cultura per affrontare i...
Appuntamento con Marco Guzzi
Con l’autunno, come sai bene, stiamo vivendo in tutto il continente – e non solo – una fase di recrudescenza della...
I ragazzi di strada ed il cuore di San Filippo Neri
Alcune recenti notizie di cronaca italiana, ci parlano purtroppo di delitti messi in atto da giovani verso altri giovani, con una crudeltà che rimane...
Effetti del lockdown sui bambini
Si presume che i bambini siano meno colpiti degli adulti dal Covid-19 a livello di contagio. I sintomi che presentano possono essere meno gravi...
Ectogenesi e maternità surrogata: possibili stravolgimenti della gravidanza?
Affittasi utero materno per un periodo non superiore a nove mesi, ampia centimetratura e in buone condizioni. Disponibile anche artificiale
L’uso delle tecnologie riproduttive (tra...
Come evitare i conflitti?
Ognuno di noi, almeno una volta nella vita, si è trovato ad affrontare un conflitto con un genitore, un figlio, un partner, un collega...
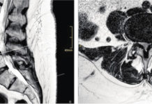
Mal di schiena e sciatica negli anziani: cause, sintomi e terapie
Dolore cronico nel basso della schiena, dolore cronico e formicolio alle gambe: in alcuni casi, questi sintomi possono derivare da un restringimento del canale...
Vaccino antinfluenzale
La stagione invernale è ormai alle porte e mai come quest’anno il dibattito sul vaccino antinfluenzale oltre a rimanere d’attualità è per certi versi...
Una destra eversiva all’interno dell’esecutivo – è ora di svegliarsi a Berlino
Già nel 2014, sei anni fa, una ricerca dell’università di Lipsia aveva mostrato il lato oscuro della Germania: circa un quinto della popolazione tedesca...
Prendersi (in) cura da sé: accortezze gratis per il benessere di mente e corpo
Quando “prenditi cura di te” giunge alle nostre orecchie, spesse volte assume le sembianze di un monito cascato dal cielo in grado di attivare...



































